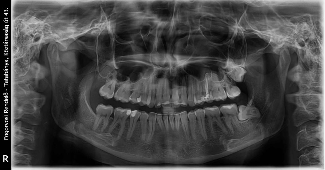
Panoráma röntgen

Digitális panoráma röntgenkészülékünkkel éles képeket tudunk készíteni, mellyel az apróbb elváltozások (szuvas léziók, gyökér körüli gyulladás) is könnyebben diagnosztizálhatók.
Kérjük a felvételkészítést megelőzően az ékszereket távolítsák el a fej-nyak területéről! (fülbevaló, piercing, nyaklánc)
Az elkészült felvételt e-mailen keresztül továbbítjuk a páciens részére, illetve a beküldő rendelő felé. Amennyiben nem találja a beérkezett üzenetek között, kérjük nézze meg a SPAM mappát is.
IDŐPONTKÉRÉS
Hétköznap 8 - 13 óra közöttaz alábbi telefonszámokon:
+36 30 622 0139
+36 30 638 7954
ÁRLISTA
Intraoralis "kis" röntgen
5 000 Ft
Panoráma röntgen
8 000 Ft
Kedves Fogorvos Kolléga!
Más rendelők részére is szívesen készítünk röntgenfelvételt. A képet rendelési időben az asszisztencia készíti, melyhez időpontegyeztetés szükséges. A röntgenfelvételt emailen keresztül továbbítjuk. A felvétellel kapcsolatos kérést jelezheti a mellékelt nyomtatványon.
